PRIMAVERA DO LESTE – Depois de sofrer um grave acidente de carro em 2002, Salete Posser, de 66 anos, quase perdeu o braço esquerdo. Na época, a empresária de Primavera do Leste foi submetida à cirurgia de artroplastia total no cotovelo, que é a reconstrução da articulação mediante a utilização de prótese. Quase 20 anos após a primeira cirurgia, a paciente precisou realizar novamente o procedimento para substituição da prótese, que ocorreu no último dia 02 de setembro, no Hospital Santa Rosa, em Cuiabá.![]()
Foto: Assessoria
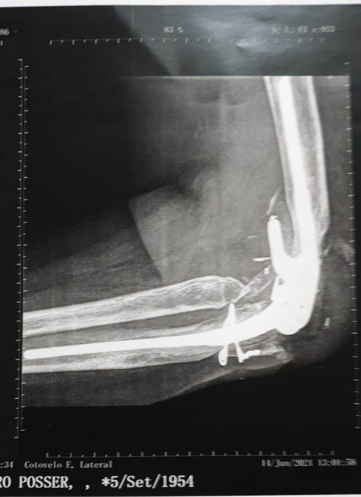
Devido à complexidade deste tipo de cirurgia são poucos profissionais no país que realizam a artroplastia total no cotovelo. O primeiro procedimento de Mato Grosso foi o da empresária Salete, realizado em 2003, no Hospital Santa Rosa, em Cuiabá, por uma equipe que envolveu os médicos ortopedistas Marcelo Hide Matsumoto, referência nacional em cirurgias de membros superiores e cotovelo pela Escola Paulista de Medicina; e Maurício Allet, também especialista em cirurgia de mão e em reimplantes de membros, que atua desde 1999 em Mato Grosso com cirurgia de mão.
O segundo procedimento da empresária ocorreu mais recentemente, no início de setembro deste ano, e foi necessário devido ao desgaste natural dos componentes. Graças à prótese, Salete hoje tem uma vida normal, realizando todos os movimentos do braço e com sensibilidade em todos os dedos das mãos.
De acordo com Allet, é comum haver esses desgastes com o tempo. E para esta segunda cirurgia a equipe novamente contou com o médico Marcelo Matsumoto e com o chefe do grupo de Ombro e Cotovelo da residência do Hospital Santa Marcelina, de São Paulo, Anderson Uehara.
Maurício Allet explica que esse tipo de cirurgia é complexa, mas segura. Os materiais usados são de alta qualidade, material importado, de alta resistência. “Hoje a medicina evoluiu muito e já é possível substituir articulações com artrose, desgaste ou até mesmo em decorrência de acidentes, como foi o caso da Salete, por uma prótese. Sem o equipamento, até poderíamos reconstruir a pele do cotovelo, mas ele precisaria ficar imobilizado, rígido. E com a prótese devolvemos a mobilidade à paciente”, afirma o médico.
“Foram seis horas de cirurgia e além da substituição da prótese, onde colocamos um novo ‘cotovelo’, também tivemos que realizar a reconstrução de ligamentos, de músculos e colocar um enxerto ósseo, extraído do osso ilíaco (bacia). E novamente foi um sucesso, com a paciente se recuperando bem. Ela já mexeu o cotovelo no pós-operatório e está com a sensibilidade dos dedos da mão”, destaca Maurício.
SEGUNDA CHANCE – Salete quase não se recorda dos momentos após o acidente, lá em 2002. Mas as poucas memórias que tem do episódio é que ao chegar à emergência do Santa Rosa quem salvou seu braço foi Maurício Allet. “Eles queriam amputar meu braço esquerdo, pois ele estava completamente destruído. O carro capotou cinco vezes numa estrada próximo à Primavera do Leste, e meu cotovelo foi sendo rasgado no asfalto. Eu cheguei com o braço pendurado pela pele. Se hoje eu posso desempenhar atividades corriqueiras como lavar o cabelo, cozinhar, abraçar minha neta, eu devo isso a esta equipe maravilhosa e à Deus, que me permitiu ficar viva e me deu uma segunda chance depois de tudo isso”, recorda a empresária.
O acidente foi tão grave que o filho de Salete, na época com 19 anos, faleceu. “Hoje eu vejo a vida com outros olhos. Depois de ter ficado viúva muito jovem, pois perdi meu primeiro esposo em 1993 e ter pedido meu filho neste acidente, pude receber a bênção de encontrar estes profissionais que cuidaram de mim e permitiram que eu reconstruísse meu braço. Eu sabia dos riscos, mas se desse certo seria um lucro. E deu tão certo que já fiz até a segunda cirurgia e espero que mais pessoas tenham essa mesma oportunidade que eu tive”, frisa Salete.
Já em casa, em Primavera, Salete destaca que após a alta hospitalar a conduta recomendada pelo médico é a de fisioterapia e com 30 dias poderá voltar às atividades normais.
Por Assessoria.

